
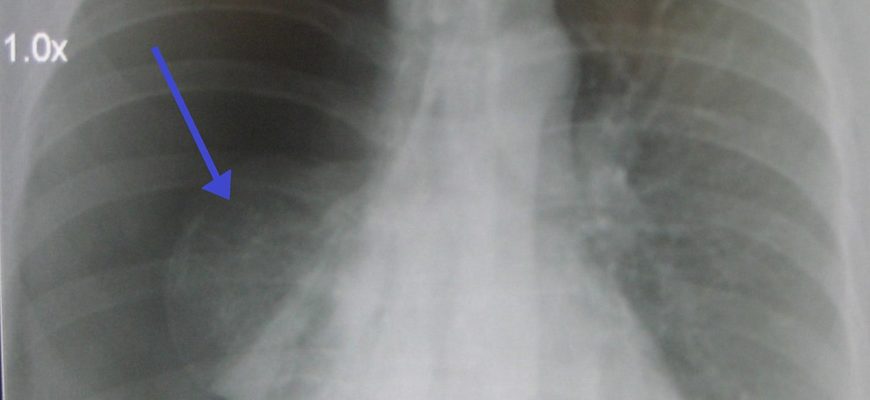
Дыра в легких — очень опасное состояние, которое может вызвать негативные последствия для здоровья. Чтобы справиться с этим расстройством и поддержать пациента, очень важно поставить точный диагноз в нужное время. Так что же это и как это относится?
Причины появления

Легочная ткань изготовлена из альвеол, небольших фолликулов, которые заполнены воздухом. Они занимают весь орган вместе с кровеносными сосудами и небольшими бронхами. В нормальных условиях в них не должно быть отверстий. Тем не менее, существуют ситуации, в которых дефекты образуются в органе. Ключевой задачей специалиста является определение причин их формирования.
Отверстия образуются в местах разрушения тканей. Пузырьки легких и бронхов умирают и растают, а пораженные места разделяются воспалительной насыпью. Это условие указывает на неправильные процессы, происходящие в организме. Однако их происхождение может быть другим. Общие факторы включают:

- Гулентные воспалительные изменения — гангрена, туберкулез, абсцесс;
- Узловой рост — рак на стадии разрушения;
- Системные патологии — саркоидоз;
- Паразитические заболевания — абзац, пузырь;
- Другие патологии — в частности, мочевой пузырь.
Симптомы
Образование отверстий в легком является вторичным процессом, который связан с повреждением тканей в этом органе. Требуется время, чтобы создать дыру.
По этой причине этот процесс не сопровождается резкими симптомами. Предшествующие симптомы, которые характерны для основного заболевания, чаще встречаются.
Тем не менее, есть общие проявления, которые следует учитывать. К ним относятся следующее:

- кашель;
- Общая слабость;
- мокрота;
- боль в груди;
- одышка;
- высокая температура.
Эти симптомы субъективны и не всегда встречаются. Врачи проводят физическое обследование, чтобы поставить точный диагноз. Результаты показывают следующие симптомы

- Задержка в дыхании в пораженной области груди;
- Ударный звук с типентным оттенком;
- Увеличение дрожания голоса над Нидусом;
- Бронхиальное дыхание; Внешний вид влажных роликов.
Абсцесс

Гулентная активность легочной ткани обычно принимает форму абсцесса. В большинстве случаев это осложнение пневмонии. Это также может быть вызвано травмой или аспирацией иностранных тел.
Первоначально в легких происходит воспалительная инфильтрация. Затем развивается некроз, с плавлением от периферийных до центральных районов. Стены дефекта затем выровняются с грананом.
Во время фазы абсцесса возникают следующие симптомы:

- боль в груди;
- одышка;
- сухой кашель;
- Горная лихорадка.
Кроме того, есть и другие симптомы опьянения. К ним относятся головные боли, тошнота, потеря аппетита и слабость. После этого времени абсцесс разрывается и состояние пациента улучшается. Если курс заболевания полезен, вокруг потерь образуется соединительная ткань и развивается локальный атеросклероз легких.
Гангрена

Эта патология вызвана сложной пневмонией, бронхиальными заболеваниями и абсцессами. Гематогенная инфекция также может вызвать гангрену. Это характеризуется гнилым некрозом, который применяется к большим площади.
Симптомы тяжелой интоксикации являются обычными — озноб, экстремальное потоотделение, потеря веса, лихорадка и бледность кожи. Иногда есть галлюцинации.
Местные симптомы включают насильственный кашель, создание вонючих выделения и дыхательной недостаточности. Гангрена может привести к кровоизлиянию, сепсису и сброду.
Туберкулез
В случае туберкулеза в легких довольно часто есть отверстия. Эта болезнь имеет постепенный прогресс. Первоначальные симптомы следующие:

- слабость;
- повышенное потоотделение;
- кашель;
- Подзадачная лихорадка.
Процесс формирования отверстия в легочной ткани довольно длинный и сопровождается тяжестью кашля, одышки и симптомов опьянения. Пациент также производит секрецию Purr-Crisis.

Часто эта болезнь возникает у людей старше 50 лет, которые долго курили сигареты. Первоначально заболевание никоим образом не проявляется, что препятствует его диагнозу. По мере развития болезни есть кашель с кровавыми выделениями, общей слабостью и потерей веса. Симптомы интоксикации усиливаются на стадии распределения, и происходит одышка.
Лимфатические, подмышечные и внутрифалитные лимфатические узлы увеличиваются. В такой ситуации подозревается метастатическое занятие пищевода, костей, печени и бронхов.
Саркоидоз

Этот термин обычно относится к процессу системной грануляции, который сопровождается повреждением дыхательных органов. Болезнь чаще всего поражает женщин в молодом и среднем возрасте.
Зернисты применяются к легким, лимфатическим узлам бронхофила и другим органам. Инфильтрат с лимфоцитарным пирогом встречается первым в респираторном органе и сопровождается пневмонией и сосудистым воспалением. Затем появляются специфические эпителиальные клетки.
По мере развития болезни упругие волокна распадаются. Этот процесс сопровождается формированием полостей и кист. Он также характеризуется дисперсным фиброзом легочной ткани.
Саркоидоз может быть подостременным или хроническим. В первом случае возникают следующие симптомы:

- Гламая лихорадка;
- Боль в суставах;
- Двусторонний отек лимфатических узлов;
- ощущение сухого рта;
- Разработка узловой эритемы;
- паралич лицевого нерва;
- Иридоциклит, увеит.
Хроническая патология характеризуется более мягкой клинической картиной. Первоначально существует общая слабость, повышенное потоотделение, усталость и нежность мышц. Появляются бронхогловые симптомы, такие как боль в груди, кашля с небольшим количеством мокроты и одышки.
По мере развития болезни появляются нарушения вентиляции.
Аспергиллез

Болезнь вызвана плесенью грибов. Если иммунная система нормальная, заболевание бессимптомно. Однако, когда защитные механизмы ослаблены, происходит острый или хронический аспергилоз.
Когда гриб попадает в альвеоли, возникает кровоокручивание. Когда неверный процесс распространяется и происходит разрушительное проникновение, появляется влажный кашель, одышка и признаки опьянения. Синус и кожа происходит в остром курсе.
Гистиоплазмоз

Патология вызвана грибной инфекцией, которая живет во внешней среде.
После попадания в организм они вызывают грануляционные поражения в легких, что приводит к смерти тканей, наглучения и кальцификации.
Когда гистиоплазма развивается хронически, полости появляются в легких. Этот процесс сопровождается повышением температуры и кашля.
Болезнь имеет длинный курс, характеризующийся периодами ремиссии и рецидивами.
Буллезная эмфизема
Болезнь характеризуется повреждением альвеол мембран. Это приводит к образованию кисты или фолликулов в легких. Патология может быть врожденной или приобретенной. Если Veshopper осложняется плевральным убежищем, существует риск растрескивания воздушной полости. Это состояние характеризуется следующими симптомами:

- Сильная боль, которая излучается на шее и плече;
- Постоянный сухой кашель;
- дыхание с ограниченными возможностями;
- быстрый пульс;
- Дыхание неглубокое.
Эхинококкоз
Бессмысленная инфекция сопровождается образованием паразитических кист. Они развиваются довольно медленно, поэтому они не вызывают симптомов в течение длительного времени. Первые симптомы появляются, когда органы средостения угнетены. В этом случае возникают следующие симптомы:
-

чистый кашель;
- одышка;
- боль в груди;
- трудности с глотанием;
- Диафрагм нервный паралич.
Над кисты могут обнаружить приглушенные барабаны. Если масса ломается, кашель усиливается и сопровождается потоком жидких выделения. Есть также симптомы прохождения, кровопролития и аллергии.
Парагонимоз

Это паразитическое заболевание, при котором происходят отверстия в легочной паренхиме. Болезнь вызвана входом в тело легкого гриппа. На резкой стадии это сопровождается значительным повышением температуры, кашля мокрота, одышкой и болью в груди.
Если заболевание попадает в хроническое состояние, появляются инфильтраты с каверновыми пространствами и происходит очаговый фиброз. Существует также риск легочной болезни сердца и рассеянный атеросклероз.
Методы лечения

Обработка отверстий в легких выбирается в зависимости от причины отверстия. В каждом случае пациент должен быть помещен в больницу, и должна быть выполнена подробная диагностика.
Увлажненный кислород вводится при лечении симптомов дыхательной недостаточности. Если существуют серьезные расстройства газообмена, целесообразно искусственная вентиляция.

В случае симптомов плевральной пневмонии кровь и воздух стремятся, а легкие расширяются за счет турацинса и плеврального дренажа.
Отверстия в легких сопровождают серьезные патологии, которые угрожают жизни. Следовательно, симптомы этого заболевания должны быть основой для подробной диагностики и выбора лучшего метода лечения.
Источник — http://mdc51.ru/dyrka-v-legkix-foto-chto-eto-takoe-prichiny-simptomy-metody-lecheniya.html