Лечение и симптомы пневмонии у детей до года

Пневмония — серьезное заболевание легких, которое повреждает легочную ткань и влияет на газообмен. Наиболее опасен для детей первых лет жизни. Поэтому родителям маленьких детей полезно знать, каковы симптомы, правила лечения и куда обращаться. Следите за обновлениями, прочитав нашу статью. Общая картина и особенности Пневмония (как и пневмония) — это заболевание легких, сопровождающееся воспалением альвеол и …

Что такое плоскоклеточный рак легкого

Рак легких — одно из самых распространенных злокачественных новообразований. Для этого типа новообразования характерны быстрый рост, склонность к ранним метастазам и неблагоприятный прогноз. Плоскоклеточный рак занимает второе место по распространенности. Эта статья расскажет об особенностях этого сорта. Общие сведения Плоскоклеточный рак легкого — это рак, который развивается из клеток плоскоклеточного эпителия, выстилающего дыхательные пути. Эта …

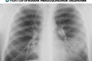
Особенности диффузной милиарной пневмонии

Диффузная миллиардная пневмония — это разновидность пневмонии, характеризующаяся образованием миллиардных очагов инфильтратов в легочной ткани, образующих ретикулярную структуру. Эти пневмонии являются тяжелыми и хроническими, воспаление быстро распространяется на все легкое и в некоторых случаях бывает двусторонним. Диффузное поражение легких приводит к развитию фиброза и выраженной дыхательной недостаточности. Этиология (причины) Для развития столь тяжелого заболевания необходимы …

Перелом плеча

Перелом плечевой кости — это повреждение кости, вызванное определенной силой, действующей на эту часть тела. Травмы могут возникать одновременно в нескольких местах плечевой кости. Преждевременное их лечение может привести к серьезным осложнениям, в том числе к инвалидности. Анатомические особенности плечевой кости Плечевая кость условно делится на 3 части: Проксимальный корень. Он является частью плечевого сустава …

Долевая неуточненная пневмония

Дольчатая пневмония характеризуется воспалительным процессом в одной из двух долей легкого или в нескольких частях органа (она называется неопределенной, поскольку возбудитель болезни не может быть идентифицирован). Кроме того, воспаление часто носит инфекционный и аллергический характер. Дольковая пневмония имеет те же симптомы, что и обычная форма. Воспаление всей доли легкого или сразу нескольких наблюдается при дольковой …

Восстановление и профилактика после бронхита у детей

Бронхит у детей — распространенное респираторное заболевание, чаще всего вызываемое вирусно-бактериальными соединениями. Своевременная диагностика, своевременное и соответствующее лечение, соблюдение врачебных рекомендаций обеспечивают полное выздоровление. Осложнения возможны при наличии различных отягчающих факторов. Для восстановления организма и функций дыхательных путей, а также предотвращения рецидивов бронхита проводится ряд реабилитационных мероприятий, о которых пойдет речь в нашей статье. Осложнения …

Основные причины появления кальцинатов в легких

Течение многих острых заболеваний паренхиматозных органов неизбежно приводит сначала к фиброзу, а затем к кальцификации. Кальцификаты в легких образуются в результате длительного воспаления. Процесс кальцификации чаще всего является защитным механизмом организма для уменьшения инфекции. В результате болезнь перестает прогрессировать, но пораженные части органов теряют свои функции. Причины появления Кальцификации в легких вызваны длительным воспалением. Основные …

Массаж для ног после перелома колена

Массаж ноги после перелома должен назначить травматолог. Функционирование костно-мышечной системы во многом зависит от состояния мышц. Обычно, когда мышцы работают, существует постоянный кровоток, который обогащает мышечную ткань кислородом и питательными веществами. Чем полезен массаж ноги после перелома? Так что же произойдет, если сломать ногу? А какова роль массажа после снятия гипса? Когда на ногу накладывают …

Растяжение бицепса руки

Растяжение бицепса — очень часто диагностируемая травма у людей, которые усердно тренируются в тренажерном зале. Сами бицепсы — это относительно небольшие мышцы, которые легко повредить не только во время силовых тренировок, но и в повседневной жизни. В основном это происходит из-за повседневной деятельности, которая сильно нагружает эту группу мышц, или из-за профессиональной работы. Причины растяжения …

Важность диеты и сестринского ухода при пневмонии у детей

Во время борьбы с пневмонией организм ребенка ослаблен. Иммунная система вашего ребенка ослаблена антибиотиками. Важно, чтобы родители помогали ему или ей, активируя его или ее защитные механизмы. В этом им помогут знания о правильном питании и образе жизни. Помимо вопросов питания, в этой статье мы рассмотрим принципы ухода за ребенком, что можно, а что нельзя …