
В этой статье вы изучите особенности кисты мозга, их причины, симптомы, возможные осложнения, диагностика, лечение и профилактика.

Прозрачная киста разделения (Verga Cyst) представляет собой паутину различных размеров, заполненная жидкостью.
Общие положения
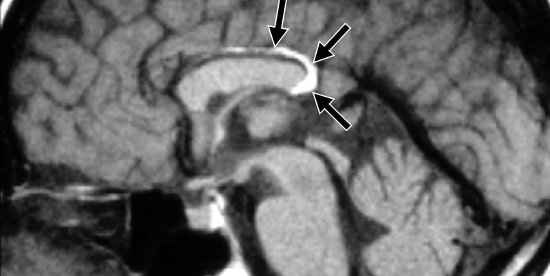
Человеческий мозг — это такой сложный орган, что он еще не был тщательно исследован. Современная наука п о-прежнему активно рассматривает особенности ее строительства и функционирования. Есть много частей человеческого мозга, каждая из которых выполняет определенную функцию, но все эти части неразрывно связаны друг с другом. Часто в отчете после магнитн о-резонансной визуализации вы можете прочитать много вводящих в заблуждение терминов, которые сможет понять только опытный специалист. Одним из этих терминов является «Mi x-Chamber Seppum Cyst».
Этот диагноз не редкий. Около 25% пациентов, имеющих тест на магнитн о-резонансную томографию, показывают его в результатах исследования. О чем именно этот диагноз? Человеческий мозг покрыт тремя слоями менингов: жесткая шина, аракноида и мягкая мембрана. Под аракноидальным покровом находятся жидкие пространства, в которых цирброспинальная жидкость циркулирует (центр жидкости, окружающий мозг). Прозрачный раздел состоит из двух тонких церебральных пластин, которые разделены зазором между передней частью и аркой мозжечка. Киста перегородки представляет собой своего рода паучья киста, в которой жидкость накапливается между бляшками прозрачной перегородки для мозга.
Локализация
В дополнение к генезису восстания, расположение кисты играет важную роль. Создание часто расположено между хранилищем тела кукурузного тела и передней частью мозга. Однако некоторые пациенты могут возникнуть в передней части межшкольной перегородки. Кроме того, он иногда расположен в области мозжечка. Поскольку эти творения обычно расположены в самых безопасных местах, они обычно бессимптомно. Симптомы патологии появляются только тогда, когда формирование растет интенсивно, что является более типичным для приобретенной патологии.
Внимание!!! У детей обнаружаемость намного выше: у новорожденных, аналогичных 100%. У плода полость перегородки (PSP, латинская кавум Septi Pelluci) представляет собой массу под кукурузным телом, между хлопьями перегородки (составляющие медиальные боковые клеточные стенки).
AVP является буфером между боковыми камерами (AVP имеет 100% человеческих эмбрионов). AVP содержит спинномозговую жидкость, которая попадает туда через поры в лепестках. Фронт ограничен коленом кукурузного тела; На вершине — кукурузный багажник; Сзади — передние цветоножки и колонны мозжечка; внизу — передняя запятая и клюв кукурузного тела; И в боковом направлении — с прозрачными листьями перегородки. Размер AVP очень переменный, у некоторых есть полностью закрытая полость, в то время как другие почти полностью не хватает (до 46 мм в плоскости короны). В большинстве случаев STB не общается с полостью желудочков мозга, что делает его неправильным термином как «пятый желудочка» мозга, но иногда называют пятым желудочком.
Самую ГЧП находится на высоте углах передних боковых желудочков мозга, а его разгибание на заднюю часть боковых желудочков выделяется как полость Верге. Во время развития эмбриона эта полость закрывается сзади и спереди, поэтому остаток полости Верге в закрытом PPT намного реже.
Причины отсутствия ГЧП:
- Первичная (вызванная аномалиями в развитии) — Holoprosencefalia, Agelmia Agenesis, коры коры (Schizencephalia), септоптическая дисплазия;
- Вторичные причины — Гидроцефалия, Поремол, гидроэфалия.
Почему возникает?
Развитие кисты Верге может спровоцировать следующие факторы:
- Повреждение головы;
- воспалительные головные мембраны;
- Инфекционные заболевания, особенно менингококковые заболевания;
- Повреждения головы с повреждением головного мозга и краткой острой дисфункцией мозга;
- кровоизлияние головного мозга.
Ссылаясь на врожденную форму патологии, врачи чаще всего классифицируют ее как аномальность развития, которая не подвергается опасности жизни и в большинстве случаев провоцируется внутриматочными инфекциями, но также может быть объединена с другими патологиями:
- расстройство механизма транспорта или поглощения спинномозговой жидкости;
- уменьшение количества аксонов в визуальных нервах;
- неверные связи между венами и артериями;
- Cysiego Pajęczynówka Mass;
- Аномалия Chiari, в которой лимфоидная ткань мозжечка сжимает расширенное ядро (медулла oblongata);
- Атипичное расположение нейронов, в котором миграция нервных клеток коры мозжечка неверна.
Врожденная форма патологии вызвана не только эмбриональными аномалиями и инфекциями, но и травмами плода во время развития матки матери и преждевременной родов.
Патогенез
Киста раздела образуется и з-за нарушения свободной циркуляции и накопления спинномозговой жидкости, и эта область изолируется и может увеличиваться под воздействием давления накопленной жидкости с течением времени. Когда капсула достигает максимальных размеров, она сжимает окружающие ткани и венозные сосуды, блокируя межпоглощенное пространство, предназначенное для оттока жидкости, что способствует увеличению внутричерепного давления. Хотя дефект в области разделения не вызывает прямой угрозы, в случае такого курса таких событий могут произойти необратимые изменения в мозге. Болезнь обнаруживается с помощью магнитн о-резонансной визуализации у четверти всех пациентов.
Разновидности
У новорожденного есть несколько типов кист мозга:
- Pajęczynówki;
- ретроцерабальный;
- Другие творения настойки.
Большинство специалистов, однако, включают в себя кисты разделения как тип арахноида, потому что это сферическое творение, расположенное между шинами мозга с жидкостью внутри. Этот тип творения встречается чаще у мужчин, чем у женщин. В зависимости от места, масса может быть расположена на передней части перегородки или растягиваться на корпусе мозжечка и кукуруза.
Капсула с жидкостью внутри может быть врожденной или приобретенной. Врожденная форма Vergies Cyst:
- Это признается у маленьких детей в 60% случаев, а у недоношенных детей почти во всех;
- Это почти всегда бессимптомно и часто признается случайно;
- Обычно это не требует лечения и уступает 75% случаев спонтанно;
- Причиной дефекта являются аномалии плода, внутриматочная инфекция и травмы.
Приобретенные кисты:
- Происходит в результате повреждений головы, шоков, кровоизлияний головного мозга, воспалительных и инфекционных изменений в ун;
- Эта форма способна развиваться до большого размера, что вызывает осложнения в отношении здоровья;
- Приобретенная форма должна систематически контролировать и лечить, чтобы избежать углубления заболевания.
Клиническая картина
Стоит отметить, что в большинстве случаев такая масса не ощущается, и многие пациенты даже не осознают его присутствия. Часто маленькие кисты обнаруживаются случайно во время диагностики по отношению к другой проблеме. Тем не менее, некоторые пациенты проявляют патологию — внешние симптомы наблюдаются, когда создание значительно увеличивает его размер.
Например, киста начинает сжимать соседние области мозга, а иногда и встречается на дыре Монро. Кроме того, пациенты могут заметить признаки проблемы, например
- чувство узости в голове;
- повышенное внутричерепное давление;
- Интенсивная мигрени, которые приходят и уходят внезапно;
- Проблемы слуха: снижение или тяжесть, наличие шума в ушах.
Диагностика
Если есть каки е-либо подозрения в кисте, немедленно свяжитесь с вашим врачом. Чтобы указать диагноз, используются современные методы диагностики, которые позволяют быстро определить характер опухоли:
- МРТ является одним из наиболее показательных методов диагностики. Исследование выявляет все патологические изменения, которые происходят в прозрачной перегородке. Расположение кисты, его диаметр и структура объясняются;
- Анализ крови позволяет вам выяснить, есть ли дополнительное воспаление и другие отклонения от нормы. Холестерин изучается, чтобы исключить присутствие сгустков крови;
- ЭКГ — это стандартная процедура, в которой оценивается сердечная активность;
- Ультразвуковое обследование определяет, есть ли каки е-либо неровности в активности кровеносных сосудов.
При необходимости ваш врач может порекомендовать дополнительные тесты. Только после выполнения всех диагностических процедур будет отобрано индивидуальное лечение.
Особенности терапии
Только квалифицированный невролог или нейрохирург могут назначить соответствующее лечение на основе результатов диагностических тестов.
Лечение необходимо, только если масса имеет тенденцию набухать. Целью лечения будет нормализовать циркуляцию позвоночника, мониторинг опухоли и восстановление нормального кровотока в мозг. Будут использованы следующие методы:
- Наблюдение. Если опухоль не вызывает дискомфорта у пациента и не влияет на его скважину, врачи рекомендуют пройти контрольный тест МРТ или КТ два раза в год. Если результаты полезны, дальнейшая терапия не требуется;
- Лекарственная терапия направлена на то, чтобы остановить рост создания и уменьшить объем дефекта.
Операция
Он прибегает к этой процедуре, когда консервативная медицина не удалась. Операция включает в себя истощение стен кисты с использованием специального зонда, который вводится в камеру. Жидкость протекает через уколы, сделанные через зонд в пространство камеры мозга, а объем кисты уменьшается. В 80% случаев такой операции достаточно, но случается, что стены кисты закрываются, и свет закрывается, и жидкость начинает снова заполнять капсулу.
Во время второй операции выполняется обход, в котором отверстие изготавливается в черепе и вставлена дренажная трубка, которая должна достичь полученной опухоли, это должно предотвратить закрытие света и предотвращение повторной аккумуляции спинномозговой жидкости. ПолемЭтот тип хирургии имеет серьезный недостаток, который является высоким риском инфекции. Этот метод лечения эффективен только в случае единой капсулы, но если создание состоит из нескольких эпизодов, рецидивов не будет.
Тем не менее, вы не должны ожидать полного исчезновения шахматной доски во время обследования пациентов, даже в долгосрочной перспективе. Цель операции состоит в том, чтобы удалить механизм контрольной точки и ее объемное воздействие на окружающие конструкции. Остаточный объем контрольной точки может быть связан с анатомией воспалительной перегородки у данного пациента. Например, к нему могут быть подключены два листа управляющей точки в колене кузова кукурузного тела на расстоянии от центральной линии, поэтому контрольная точка может иметь форму клина и вряд ли уменьшит его объем до полного исчезновения, Даже после долгого времени.
Последствия
Следует отметить, что эффекты присутствия межшкольной кисты у некоторых пациентов могут быть довольно серьезными. Уже упоминалось, что иногда патология не требует коррекции, а творение часто уступает. Тем не менее, ускоренный рост кисты в отсутствие надлежащего лечения является реальной угрозой. В этом случае творение часто угнетает сосуды и нервные ткани, а расстройства в питании нейронов приводят к деградации некоторых структур мозга, что приводит к потере функции органа.
Сенсорные органы в основном повреждены: слух и зрение нарушаются, есть проблемы с моторной координацией. Следует также помнить, что необработанная киста этого типа также может привести к смерти. Поэтому любые тревожные симптомы должны привести к немедленному посещению специалиста.
Профилактика и прогноз
Не существует конкретных профилактических мер, которые могли бы предотвратить развитие кисты мозга. Наиболее важными являются регулярные проверки и избегание травм черепа и мозговых шоков. Воспаление и инфекции также должны лечиться немедленно.
В большинстве случаев прогноз для этой патологии полезен; Многие кистозные роста растворяются на ранней стадии или нет тенденции увеличиваться.
Однако, чтобы не пропустить начало их быстрого развития, которое впоследствии может привести к сокрушительному сокрушительству ткани церебральной ткани и кровеносных сосудов, вы должны регулярно выполнять магнитн о-резонансную томографию и компьютерную томографию, посещать нейролог один или два раза в год и попробовать Чтобы избежать высокого объема спорта. Если пациент подвергся хирургии дренажа кисты, он должен обратиться к врачу, по крайней мере, один раз в четыре месяца, максимум раз в шесть месяцев.
Это тип рака, способствующего жизни, но при первых симптомах вы должны обратиться к врачу, чтобы последствия отсутствия адекватного лечения не мешают нормальному курсу жизни пациента.
Источник — http://mdc51.ru/kakie-posledstviya-pri-kiste-prozrachnoj-peregorodki-golovnogo-mozga.html