
Плоскостопие — это искривление стопы, поражение стопы, характеризующееся постоянным уменьшением высоты дистального свода стопы до тех пор, пока оно не исчезнет.
Этот вид деформации наиболее распространен и может сопровождаться патологическими изменениями в коленных и голеностопных суставах. Патология диагностируется на основании прямого осмотра, а степень плоскостопия определяется на основании рентгенологического исследования.
Последовательность проведения рентгенографии стопы

Рентген стопы для определения степени деформации и степени плоскостопия не занимает много времени. Пациент снимает обувь, все украшения и кладет ногу на специальную ПЗС-матрицу. Непосредственно перед сканированием радиолог накладывает свинцовый экран вокруг паха пациента, чтобы защитить гениталии от излучения.
Схема сканирования следующая:
- Пациент лежит на кушетке, опираясь на колено, перенося вес тела на больную конечность.
- Фотографии сделаны в нескольких проекциях, чтобы детально визуализировать проблему: латеральная, дорсолатеральная, переднезадняя.
- После того, как диагноз поставлен и изображение перенесено на фото, рентгенолог делает заключение. Окончательный диагноз ставит лечащий врач (ортопед, травматолог).
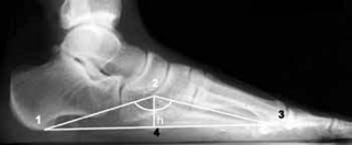
Радиологическая диагностика позволяет определить степень плоскостопия, его кривизну и длину.
Расшифровка полученных результатов

При отсутствии деформирующего процесса (плоскостопие) конечность человека имеет две дуги — продольную (расположена по внутреннему краю стопы) и поперечную (локализация — основание пальцев). В процессе развития описанные выше дистальные участки уплощаются и болезнь проявляется в виде плоскостопия.
С помощью рентгена можно визуализировать высоту и углы свода стопы, выявить аномалии костной ткани и суставов. Диагностика позволяет выявить наличие деформации и определить степень ее развития.
Благодаря обследованию можно обнаружить другие виды патологии и своевременно провести лечение.
Рентгенодиагностика с дополнительной нагрузкой
Этот метод диагностики используется в ортопедии, травматологии и хирургии для выявления ряда патологических изменений.
Рентген с дополнительной нагрузкой позволяет не только обнаружить травму, но и дает подробную информацию об анатомических особенностях стопы.

Тяжелая рентгенография стоп
Рентгенологическое исследование является основным методом диагностики плоскостопия и других патологий дистального отдела стопы. Фотографии делаются в нескольких проекциях — прямой (стопа пациента на весу) и боковой (с дополнительным рентгеном голеностопного сустава). Процедура не связана с повышенным риском облучения; доза облучения за сеанс составляет от 0,05 до 0,1 мЗв, что является относительно низким показателем.
Клиническая картина продольного плоскостопия
Выделяют три типа продольного плоскостопия, которые различаются выраженностью симптомов и изменений:

- Первый тип. В начальных стадиях деформации патология слабая, а угол наклона продольного свода стопы колеблется от 130 до 140˚. Визуально определить деформацию невозможно. Пациенты жалуются на симптомы, связанные с чувством усталости после продолжительной ходьбы и периодическими отеками в области стоп. Четкого болевого синдрома нет, есть небольшая болезненность при надавливании на дистальный отдел стопы.
- Второй тип. Деформация выражена умеренно, при испытании угол наклона дуги составляет от 141 до 156 15. Наблюдается видимое уплощение стоп, а при детальном диагнозе — артритные изменения плюсневых костей. Болевой синдром обостряется даже после незначительных физических нагрузок. При этом боль распространяется на всю голень, вплоть до бедра.
- Третий тип. Для этого типа характерно выраженное плоскостопие, когда угол дуги превышает 157˚. Клинические симптомы включают постоянную боль, отек ног, остеоартрит и затруднения движений. Пациенту нельзя носить обычную обувь, и необходимо срочно носить специальную ортопедическую обувь. В запущенных случаях происходит деформация щиколоток.

Обратите внимание, что правильный угол дуги должен составлять 125–130, что указывает на отсутствие деформации.
Симптомы поперечного плоскостопия
Клиническая картина поперечной деформации стопы не отличается от клинической картины продольной деформации. Больной жалуется на боли в ногах, преимущественно в стопах. Боль может усилиться после длительной прогулки или упражнений, отек заметен ближе к вечеру. При плоскостопии женщины испытывают затруднения в выборе обуви, а ходить на каблуках — явный дискомфорт.
При очном осмотре можно заметить деформацию большого пальца стопы (Halus valgus), в запущенных случаях искривление выбивается и распространяется до 2–3 пальцев. Покраснение кожи в области большого пальца стопы с отчетливой болью при пальпации.
Методы лечения искривления стопы

Если плоскостопие сопровождается выраженным болевым синдромом, могут быть назначены обезболивающие. Лечебная тактика заключается в назначении ортопедической обуви, стелек, лечебных процедур, лечебной гимнастики. При деформации большого пальца стопы 1-2 степени — вальгусной, ортопед рекомендует использовать специальную повязку для устранения дефекта.
Рентгенография стопы — простой, доступный и информативный метод диагностики патологии дистального отдела стопы, выявляет даже небольшие изменения и определяет эффективную тактику терапии.